All on 4 Dental Implants
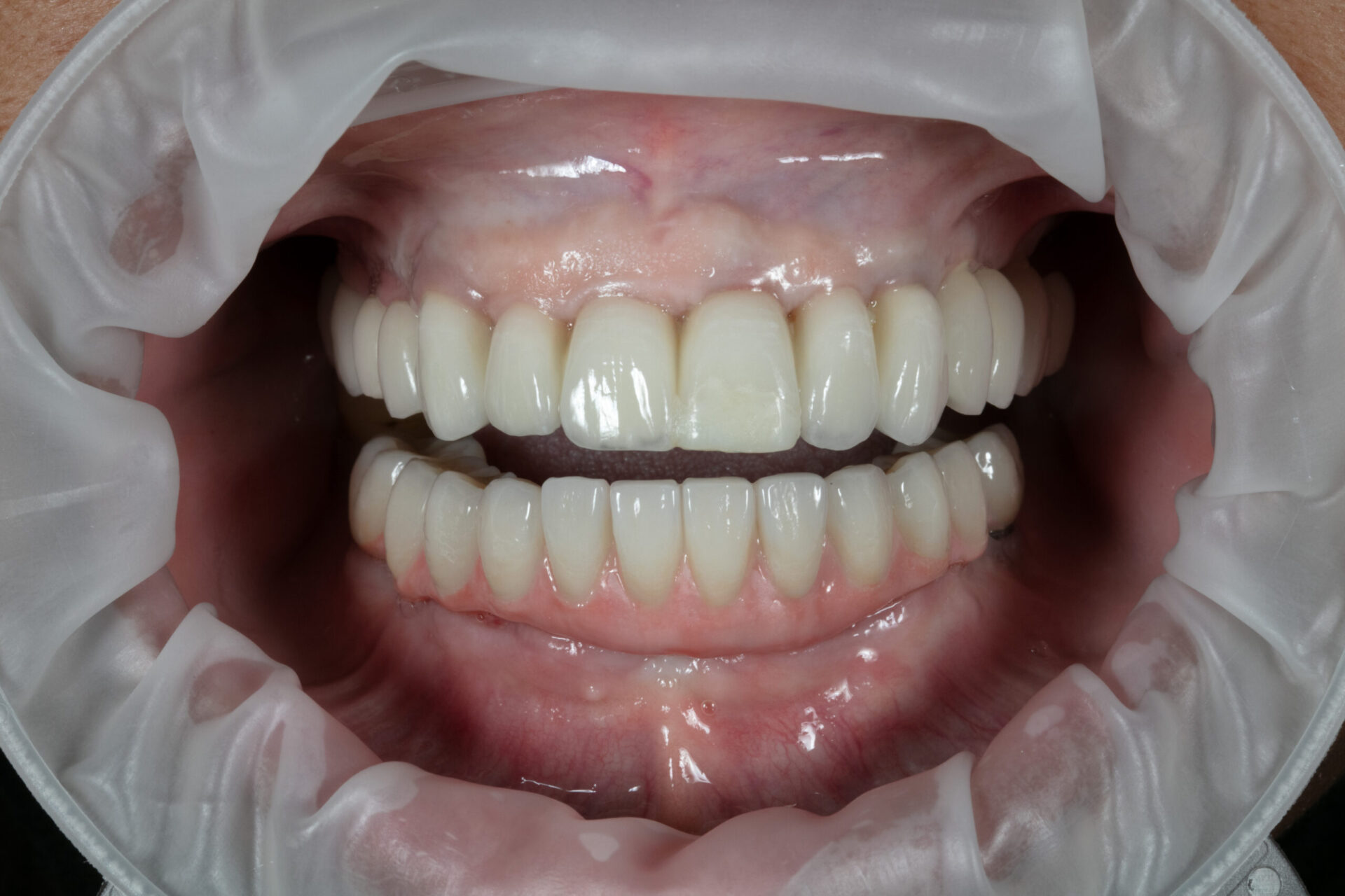
At Hesed Dental, our All-on-4 implants restore your full smile with just four implants — offering a fixed, natural-looking alternative to dentures.
Enjoy a secure, confident smile that feels like your own.
All-on-X refers to the same concept but uses more than four implants based on your bone condition.
All-on-4 is the most common type. We provide personalized care to ensure long-lasting, beautiful results tailored to you.
Enjoy a secure, confident smile that feels like your own.
All-on-X refers to the same concept but uses more than four implants based on your bone condition.
All-on-4 is the most common type. We provide personalized care to ensure long-lasting, beautiful results tailored to you.
Your Journey to a Perfect Smile Starts Here
Studies show that dental implants have a success rate of 95%, even over the long term. Millions of Americans struggle with tooth loss, which can lower self-esteem and make it hard to eat or speak comfortably. Many spend large amounts of money on temporary solutions that don’t last.
With our All-on-4 Dental Implants in Cliffside Park, NJ, you no longer need multiple procedures. So, don’t delay and bid farewell to the missing teeth issue for good; book your dental appointment with us today.
What are All-on-Four Dental Implants?
Our All-on-4 procedure is a full-arch tooth replacement method. It majorly involves carefully positioning implants to hold a complete set of prosthetic teeth securely in place. The implants are placed into your upper and lower arch, two in each area. These implants contain non-removable artificial teeth that permanently stay in your oral cavity.
Ready to have strong, natural-looking, perfectly aligned teeth? Book your appointment with our expert team at Hesed Dental today.
When Should I Get All-on-4 Dental Implants, Cliffside NJ?
Experience unmatched precision, aesthetics, and durability—all under one roof.
Hesed Dental is equipped with a state-of-the-art in-house dental lab, allowing us to craft your All-on-4 Dental Implant prosthetics with greater speed and accuracy. This reduces waiting time and ensures a perfect, custom fit for each patient.
Our All-on-4 Dental Implant treatment goes beyond restoring function—it enhances beauty. Led by skilled cosmetic dentists, we design teeth that complement your facial structure, resulting in a natural, confident smile.
With years of hands-on experience and a track record of successful surgeries, our doctors perform All-on-4 Dental Implant procedures with precision and care. Even patients with minimal bone volume can enjoy secure, long-lasting results without the need for bone grafting.
Every patient receives a custom All-on-4 Dental Implant treatment plan tailored to their needs. From the initial consultation to post-op maintenance, we provide full-spectrum care to ensure long-term comfort and functionality.
What is the Process of All-on-4 Implants?
We surgically insert All-on-4 dental implants simultaneously on the upper and lower arches. The process might look simple to the naked eye, but this process involves a lot of complications, and only certified experts can handle it accurately. Our team of dental implant specialists, led by Dr. Lyu is well-trained to perform an All-on-4 dental implant procedure in Cliffside Park. Here are the steps we follow:
1. Examination
2. Implant Planning
3. Digital Simulation
4. Giving Back Your Lovely Smile
1. Examination
We start by thoroughly examining your dental condition. This includes reviewing your medical history, current dental needs, facial structure, and other important factors that help us plan your implant procedure safely and accurately.
2. Implant Planning
In the next step, Next, we take detailed scans like CT scans and 3D images of your jaw. These help us locate the positions where implants need to be placed while avoiding nerves and sinus areas for safe and precise placement.
3. Digital Simulation
Now, our experts will create a digital simulation of your all-on-4 surgery using advanced software. This helps us find the ideal positions for your implants so they get the strongest support from your jawbone.
4. Giving Back Your Lovely Smile
In the last step, our highly trained dental surgeons will inject local anesthesia at the incision site to perform oral surgery. They carefully place the implants into your jaw and attach a set of natural-looking teeth. And so you’ll have a beautiful and confident smile.
Restore Your Teeth in One Go
Missing teeth have a great impact on your daily life. After all, they make smiling, speaking, and eating difficult. Ultimately, it can shatter your confidence to interact with others. Our all-on-4 dental implants in Cliffside, NJ offer a powerful solution by restoring a full arch of teeth with just one procedure. This advanced treatment provides long-lasting function, comfort, and a natural appearance without the need for multiple surgeries.
At Hesed Dental, we make your transformation quick, efficient, and truly life-changing in just a single visit. So, book your first consultation today.
The Benefits of All-on-4 Dental Implants
Got more than one missing tooth to replace? Going All-on-4 is the best choice in most cases. At Hesed Dental, we use advanced techniques to provide a secure, stable, and healthy-looking smile with minimal surgery. This innovative treatment delivers lasting results and makes it easier to enjoy everyday life again. Here are the benefits you get from our Cliffside Park all-on-4 dental implants:
Our All-on-4 dental implants are securely fixed and designed to last a lifetime. They give you confidence and freedom without the worry of shifting or replacing them.
With precise planning and modern techniques, the surgery is simple and gentle. You get a full, natural-looking set of teeth with less recovery time and discomfort.
Thanks to our computer-guided simulation and placement process, we avoid the need for bone grafting in most cases. Hence, the procedure becomes faster and more efficient.
All-on-4 implants are easy to care for. Simply brush twice a day and floss regularly, no need for messy adhesives or removal like with traditional dentures.
Your Go-To Clinic for All-on-4 Dental Implants in Cliffside, NJ
At Hesed Dental, we offer the best permanent solutions for tooth decay and missing teeth. Our All-on-4 implants offer both form and function. They restore your smile and also improve how you speak and eat every day. They look natural and feel just like real teeth.
heseddentist@gmail.com
201 941 8877
543 Gorge Road Cliffside Park,NJ 07010
201 941 8877
543 Gorge Road Cliffside Park,NJ 07010